by Fox Valley Equine Practice | Sep 18, 2019 | Uncategorized
Click here to read Dr. Paige Billek’s article about Equine Stomach Ulcers from the Fall 2019 edition of the Midwest Equestrian magazine.
by David Heinze | May 9, 2019 | Uncategorized
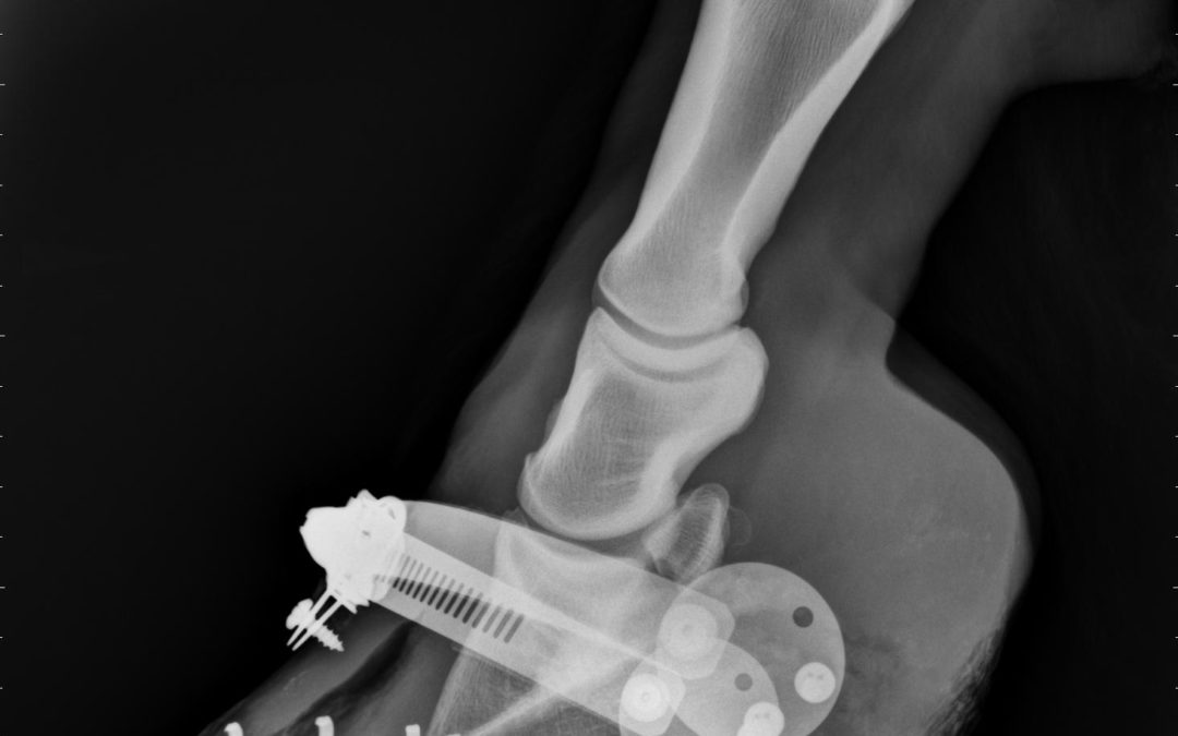
Be-Bop: A Laminitis Tale
by Fox Valley Equine Practice | Jul 26, 2016 | Featured resources, Health and Wellness, Horseman 101, Uncategorized
Describe the horse’s attitude – bright and alert, depressed, lethargic, quiet, anxious, uncomfortable, etc. Describe horse’s actions – not moving, not bearing weight in a leg, pawing, looking at the belly, pacing, shaking, uncoordinated, etc. Take horse’s temperature...
by Fox Valley Equine Practice | Jun 14, 2016 | Emergencies, Uncategorized
There are many plants that are toxic to horses. Fortunately, plants with harmful toxins are designed to prevent animals from browsing and have a bitter taste that animals learn to avoid. Well-fed, healthy horses that have access to adequate forage, through pasture...