Equine Care: Resources and Articles
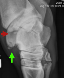
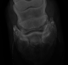
Osteochondritis Dissecans (OCD)
Click to read more
Emergency Horse Transportation/Hauling
Click Read More for a list of local professional haulers along with fellow horse owners that are able to help in a time of crisis.
Navicular Syndrome
Click to read more
Horseman 101
Emergencies
Articles From Our Vets
Potomac Horse Fever
Dr. Lewis explains the origins, symptoms and treatment of Potomac Horse Fever, a seasonal disease occurring most often at the onset of hot weather in July, August, and September.
Regenerative Medicine – Part 2 Platelet Rich Plasma (PRP)
PRP
Videos and Photos
Check out our how-to videos, or browse our photo galleries to see more about Fox Valley Equine Practice and our clients.


